本日は「インプラント治療」と「遊離歯肉移植術」を行った患者様の症例です。

本日は、「インプラント治療」と「歯周病治療」を行った患者様の症例です。
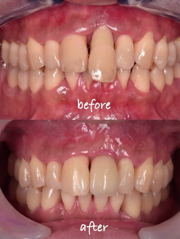
重度歯周病で自然脱落した患者様のインプラント治療です。
歯周治療を行ったうえでインプラント治療とGBR(骨造成)を実施した症例です。
骨量が不足している状態でも、適切な診断と処置を行うことで、
機能回復と長期的な安定を目指した治療が可能になります。
歯周病はインプラント治療に大きく影響するため、
治療前後の管理とメインテナンスを大切にしています。
王子歯科クリニック
〒114-0002 東京都北区王子2-26-2
ウェルネスオクデラビルズ3階
TEL:03-3914-6480
️↓歯科治療 インプラントご相談
https://ojidental.gr.jp/
お電話・HPよりもご予約いただけます。
月火木金土曜日 AM9:00~13:00
(最終受付12:30)
PM14:00~18:00
(最終受付17:30)
水曜・日曜・祝日 休診
ぜひ当院ホームページも参考にしていただけたらと思います。
ご予約はお電話他、ラインも可能です。また、インスタグラム始めました。是非ご覧ください。


